Percée majeure pour développer de nouveaux médicaments anticancéreux

19 mars 2014

L’Institut de recherche en immunologie et en cancérologie (IRIC) de l’Université de Montréal (UdeM) en collaboration avec la Banque de cellules leucémiques du Québec de l’Hôpital Maisonneuve-Rosemont a récemment réalisé une percée majeure grâce à la culture de cellules souches leucémiques en laboratoire, ce qui permettra d’accélérer le développement de nouveaux médicaments anticancéreux.

Dans une récente étude publiée dans Nature Methods, les scientifiques décrivent comment ils ont réussi à identifier deux nouveaux composés chimiques qui permettent le maintien des cellules souches leucémiques lorsque celles-ci sont cultivées à l’extérieur du corps.

Cette importante avancée ouvre la voie à l’identification de nouveaux médicaments anticancéreux pour contrer la leucémie myéloïde aiguë, une des formes les plus agressives de cancer du sang.

La capacité à cultiver des cellules souches leucémiques en culture représente une percée majeure. La prochaine étape est d’étudier les mécanismes moléculaires qui contrôlent le maintien et la prolifération des cellules leucémiques ainsi que la résistance aux médicaments anticancéreux.

Cette étude est issue du Groupe de recherche Leucégène. Ce groupe est codirigé par le Dr Guy Sauvageau, chef de la direction et chercheur principal à l’IRIC ainsi que professeur au Département de médecine de l’UdeM, la Dre Josée Hébert, directrice de la Banque de cellules leucémiques du Québec, hématologue à l’Hôpital Maisonneuve-Rosemont et professeure au Département de médecine de l’UdeM, et Sébastien Lemieux, chercheur principal à l’IRIC. La première auteure de l’étude est Caroline Pabst, stagiaire postdoctorale à l’IRIC et associée au Groupe de recherche Leucégène.

« Cette percée scientifique démontre l’avantage de travailler au sein d’une équipe multidisciplinaire comme celle du Groupe de recherche Leucégène. L’accès à des cellules de patients atteints de leucémie et à des installations à la fine pointe de la technologie de l’IRIC sont également des atouts essentiels pour mener à bien des recherches innovatrices », ajoutent les Drs Guy Sauvageau et Josée Hébert.

Mise en contexte de l’étude

Les cellules souches situées dans la moelle osseuse servent à la production des cellules sanguines. Malheureusement, la dérégulation de ces cellules a souvent des conséquences désastreuses lorsque l’une d’elles développe des mutations qui la transforment en une cellule souche maligne dite « leucémique ».

Il en résulte une prolifération anormale des cellules du sang et le développement d’une leucémie. Les cellules souches leucémiques sont également une des causes probables de rechute des patients, car elles sont particulièrement résistantes aux traitements anticancéreux.

L’obstacle majeur avant cette découverte était de cultiver des cellules souches et de les maintenir in vitro, car elles perdaient rapidement leur caractère de cellules souches cancéreuses. Il était alors très difficile d’étudier efficacement la multiplication des cellules qui causent la leucémie.

Pour contourner cette difficulté, l’équipe de chercheurs a étudié des cellules souches leucémiques de patients souffrant de leucémie myéloïde aiguë, obtenues de la Banque de cellules leucémiques du Québec. À la suite de milliers de tests utilisant divers produits chimiques, ils ont identifié deux nouveaux composés chimiques qui, lorsqu’ils sont ajoutés au milieu de culture, peuvent maintenir les cellules souches leucémiques humaines fonctionnelles au moins sept jours in vitro.

 

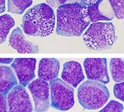
 cellule Image du haut : Cellules de leucémie myéloïde aiguë présentant des anomalies dans les conditions de culture standard. 

 

 

Image du bas : Cellules de leucémie myéloïde aiguë préservant leurs caractéristiques de cellules leucémiques à la suite d’une culture in vitro avec les deux molécules chimiques décrites dans l’étude citée.

 

Groupe de recherche Leucégène
Composé de chercheurs de l’Université de Montréal, l’Université Laval et l’Université McGill, le Groupe de recherche Leucégène s’intéresse à l’identification des gènes et des facteurs qui déterminent les chances de guérison des leucémies myéloïdes aiguës et à  la découverte de nouvelles thérapies contre ce cancer.

Financement du projet de recherche
Ce projet de recherche a été financé grâce à des subventions de : Génome Québec, Génome Canada, le Réseau de recherche sur le cancer du Fonds de recherche du Québec – Santé, la Chaire de recherche du Canada en génétique moléculaire des cellules souches, la Chaire de recherche en leucémie de l’Industrielle-Alliance (Université de Montréal), la Ligue allemande contre le cancer (Deutsche Krebshilfe) et la Fondation Cole.

Étude citée
Pabst C, Krosl J, Fares I, Boucher G, Ruel R, Marinier A, Lemieux S, Hébert J, Sauvageau G. Identification of small molecules that support human leukemia stem cell activity ex vivo. Nature Methods. 2014-02-23.

À propos de la Banque de cellules leucémiques du Québec de l’Hôpital Maisonneuve-Rosemont
À propos de l’Institut de recherche en immunologie et en cancérologie de l’Université de Montréal


Renseignements :

Manon Pepin
Directrice des communications et relations avec les médias
Institut de recherche en immunologie et en cancérologie│IRIC
Université de Montréal
514-343-7283│manon.pepin@umontreal.ca